Vendredi 3 avril 2026
La Salle / 09h30 - 10h15
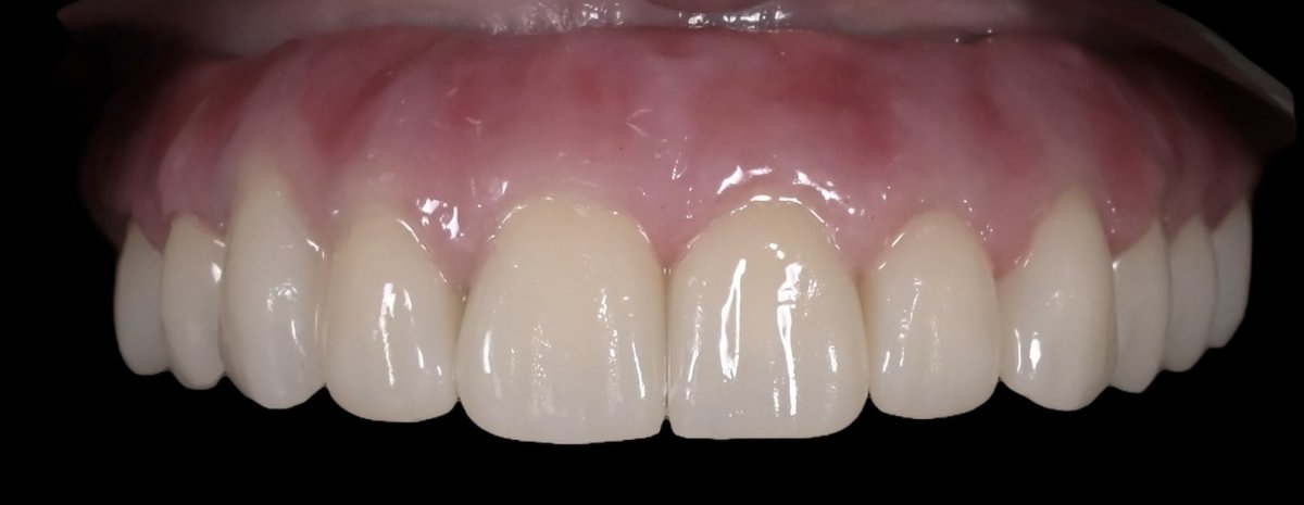
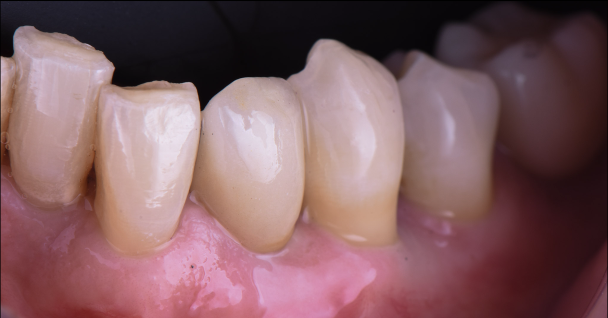
Prothèse sur implant :
le choix stratégique des matériaux
le choix stratégique des matériaux
Gaëtan LITTERI

Le choix des matériaux en prothèse implantaire constitue une étape déterminante pour la réussite clinique et biologique des restaurations.
En tant que prothésiste, il est essentiel d’adapter ce choix à chaque patient et à son environnement biologique spécifique.
Cette présentation propose d’explorer les différents matériaux utilisés dans ma pratique quotidienne pour la conception prothétique sur implant, en fonction des besoins cliniques et esthétiques.
Elle mettra également l’accent sur le rôle clé du prothésiste dans la collaboration avec le praticien, afin d’établir un véritable partenariat de réflexion et de décision.
L’objectif est d’optimiser les résultats.



La Salle / 10h30 - 11h15
Comment éviter les pièges dans l'esthétique immédiate des cas unitaires et pluraux ?
Dr François LABORDE
& Thomas MUSSO
& Thomas MUSSO


L'art d'éviter l'échec.
- Comment gérer le flux digital avant d'aborder une planification implantaire.
- Comment communiquer et optimiser le duo dentiste / prothésiste.
- Cas cliniques d'une dent antérieur esthétique au bridge complet sur implant


La Salle / 11h30 - 12h15
Innovation esthétique : solutions céramiques de pointe pour plus d'efficacité et de perfection
Stefan ROOZEN

Le domaine de la céramique dentaire connaît actuellement une transformation grâce à des matériaux innovants et des techniques avancées.
Cette formation explore les dernières avancées en matière de solutions céramiques, en mettant l'accent sur les applications monolithiques et les facettes minimales.
En tirant parti des technologies et des matériaux de pointe, les professionnels dentaires peuvent atteindre une efficacité et une précision inégalées sans compromettre l'esthétique.
Les participants découvriront des flux de travail rationalisés, des options de matériaux polyvalents et des stratégies pratiques pour créer des restaurations hautement esthétiques adaptées aux besoins des patients.
Cette session est conçue pour inspirer et fournir aux prothésistes dentaires et aux praticiens les outils nécessaires pour repousser les limites de la céramique moderne.
Conférence en anglais
Traduction simultanée en français
Traduction simultanée en français


La Salle / 14h00 - 14h45
L'arc facial : le maillon manquant de la chaîne numérique, partage entre le cabinet dentaire et le laboratoire de prothèse
Dr Xavier CRAUSTE

Le numérique est aujourd’hui omniprésent dans les cabinets dentaires comme dans les laboratoires de prothèses. Des scanners intra-oraux (caméras), aux logiciels de conceptions et outils de réalisations (usinage, frittage…) : cette modernité permet de nets progrès dans la qualité de nos travaux.
L’ensemble de ces éléments constituent ce que l’on appelle « la chaîne numérique ».
Mais quand est-il de la gestion de l’occlusion ?
Les règles élémentaires en prothèses classiques (dites analogiques) sont elles retrouvées en prothèses numériques ou tout simplement oubliées ?
L’enregistrement de l’arc facial n’est-il pas un maillon manquant, mais pourtant primordial, de cette chaine numérique ?
Il est toujours le point de départ de tout travail de qualité, alors même qu’aujourd’hui nous sommes capables d’enregistrer et retranscrire les mouvements mandibulaires et surtout la mastication propre à chacun de nos patients. Étonnamment il existe actuellement peu de systèmes distribués.
Lors de cette conférence nous allons vous présenter le système Zebris JMA, pionnier dans le genre.




La Salle / 15h00 - 15h45
Où en est la prothèse complète numérique ?
Dr Luc RAYNALDY

Cette présentation offrira un panorama des solutions thérapeutiques offertes par la CAO numérique en réhabilitation complète.
Flux de duplicata, Prothèse immédiate, Réfection-réédification et Flux ivoclar. Les participants découvriront les étapes spécifiques à la clinique et au laboratoire, la gestion intégrale du parcours numérique, ainsi que les nouveaux matériaux et procédés de fabrication.
La technologie numérique ne peut donner de bons résultats sans savoir faire et expertise. Les fondamentaux prothétiques traditionnels doivent être respectés pour réussir à satisfaire les patients. Nous verrons ensemble comment faire les bons choix en fonction des différentes situations cliniques rencontrées.
Nous verrons également comment améliorer les prothèses réalisées et leur fonctionnalité clinique. L’objectif est de permettre à chacune et chacun d'intégrer efficacement ces innovations dans sa pratique quotidienne que se soit lors d’une approche 100% numérique ou lors d’une approche partiellement numérique.
En bref, découvrez, en toute simplicité :
- Les dernières innovations qui transforment nos pratiques
- Les nouveaux matériaux incontournables
- Les réponses aux questions que vous vous posez sur l’intégration du numérique dans le flux prothétique
Aucune façade, pas de discours aseptisé : vous repartirez avec une vision claire, honnête et pratique de la prothèse complète digitale et des outils associés.
Les connaissances et l’expertise en prothèse traditionnelle potentialisent la technologie numérique.


La Salle / 16h00 - 16h45
Waxup, Mockup, Clés, Gouttières, etc.
La collaboration laboratoire / cabinet au service du patient
La collaboration laboratoire / cabinet au service du patient
Linda MARTIN

Une communication de qualité entre le cabinet dentaire et le laboratoire de prothèse est un pilier incontournable pour offrir au patient des restaurations fiables, esthétiques et adaptées, tout en optimisant le travail des deux partenaires.
Afin d’éviter les écueils et les incompréhensions, nous aborderons ici tous les différents types de guides découlant d’un projet prothétique.
Avec de nombreux cas cliniques et surtout une analyse de nos échecs, nous partagerons comment mettre en place des protocoles cohérents afin d’améliorer nos préparations minimalement invasives tout en pérennisant nos restaurations directes et indirectes.



